The International Advisory Committee on Clinical Trials in Multiple Sclerosis updated their guidelines on differential diagnosis of potential MS.
Features
Some viral infections have been implicating in either driving the pathophysiology of multiple sclerosis or making it worse.
The efficacy and safety of treatments for RRMS and the effect of diet on mental health disorders in this patient population were the focus of compelling research at CMSC 2023.
Nurulamin Noor, MD, discusses the advantages and challenges of a MAMS adaptive trial design for PMS.
A study identifies alterations in binocular vision among patients with multiple sclerosis.
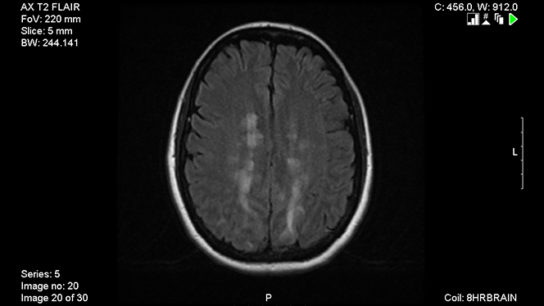
The 2021 MAGNIMS-CMSC-NAIMS provided updated consensus recommendations on MRI use in the management of multiple sclerosis.
Neurology Advisor spoke with Klaus Schmierer, MBBS, PhD, to discuss new evidence suggesting a protective antibody response following vaccination in patients with MS taking MAVENCLAD.
Awareness of urinary tract infection among individuals with multiple sclerosis is critical in diagnosis, management, and prophylaxis in this population.
A combination of clinical, imaging, and neuropsychological examinations may aid in MS disease progression prognostication.
AAN has issued a practice guideline update for vaccine-preventable infections and immunizations for individuals with multiple sclerosis (MS). A subcommittee of the AAN — tasked with developing, disseminating and implementing these guidelines — found improvements and additions to the recommendations previously issued in 2002.
Research highlights the need for healthcare professionals to proactively and directly address the issues and risks of DMTs in terms of MS patients’ family planning activities.
Cognitive reserve may attenuate the impact of MS on cognitive function in some patients.
Rosalind C. Kalb, PhD, a clinical psychologist, offers her insights on how clinicians can address patient concerns about reproductive issues and MS.
Pediatric MS is predominantly inflammatory in nature, with a presentation that is similar to a number of other conditions.
Having a higher burden of comorbidities is associated with greater disability progression and lower QoL, as well as increased healthcare utilization and mortality.
Future studies on VR training for MS should include large randomized controlled trials using clear protocols and comparable between-group tasks.
The 2017 revision takes aim at better differentiating relapsing-remitting and primary-progressive forms of multiple sclerosis.
John Stoffel, MD, Professor of Urology, Service Chief, and Associate Chair for Ambulatory Urology in the University of Michigan Department of Urology discusses the management of urinary retention in patients with MS.
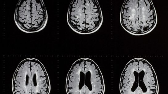
A proper MS diagnosis can only be made after obtaining imaging from the entire brain and understanding the clinical context.
It has been proposed that the gut microbiome may be an important environmental risk factor in MS.
While supplementation has produced a positive response in disease activity, adverse events based on dosing are concerning.
One of the biggest hurdles is getting the patient to be honest and open with you about bladder problems.
Physical comorbidities are mediated by depression in MS.
Those treated with phenytoin saw a 30% reduction in retinal nerve fiber loss.
When first-line therapies fail, physicians must consider several factors when choosing the next course of treatment for their RRMS patients.
Antibodies in the CSF may be able to seek out and eliminate JC polyomavirus variants.
Exercise and general increases in daily physical activity can help improve balance, reduce fatigue, and regain mental clarity in patients with MS.
The most recognized symptom of MS is fatigue, a hard to treat comorbidity that can manifest into other conditions.
Advanced imaging technologies to monitor multiple sclerosis (MS) are being developed but have been plagued by high costs and invasive procedures.
The advent of oral therapy now gives multiple sclerosis patients more options besides injections, which were the mainstay treatment.