Researchers identified predictors of adverse outcomes in children with community-acquired bacterial meningitis.
News
In a retrospective study, researchers evaluated the efficacy of valaciclovir in reducing the rate of CMV vertical transmission from mother to fetus in early pregnancy.
For adults hospitalized with SARS-CoV-2 infection, encephalopathy at admission is the most common serious neurologic manifestation, all of which are associated with worse outcomes.
This case report described the first instance of a patient with Crohn disease and relapsing polychondritis who presented with pachymeningitis.
A longer prison sentence has been handed to the founder of a now-closed pharmaceutical facility responsible for the 2012 meningitis outbreak.
Study investigators conducted a systematic review to evaluate the efficacy and safety of aspirin as an adjunctive therapy in patients with tubercular meningitis.
A new point-of-care lateral flow assay featured the same sensitivity as mycobacterial culture in detecting tuberculosis meningitis in adults with HIV.
The FDA has approved MenQuadfiTM Meningococcal (Groups A, C, Y, W; Sanofi Pasteur) Conjugate Vaccine for the prevention of invasive meningococcal disease caused by Neisseria meningitidis serogroups A, C, W, and Y in patients aged ≥2 years.
4CMedB, a new multi-antigen vaccine designed to control group B meningococcal disease, had no effect on carriage of disease-causing meningococci in adolescents.
Early fungicidal activity (EFA) in cerebrospinal fluid (CSF) has been associated with all-cause mortality in cryptococcal meningitis.
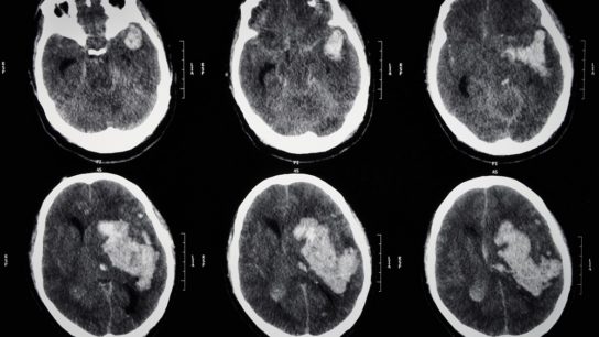
The use of guideline recommendations from the IDSA for neuroimaging in the management of community-acquired bacterial meningitis is most likely to lead to detection of major head CT scan findings that subsequently affect clinical management.
Results of this study showed that patients with CSF leak associated bacterial meningitis have a relatively high recurrence rate, despite attempts to repair the leak or vaccination.
Cerebrospinal fluid (CSF) pleocytosis and abnormal protein and glucose levels were not predictive of a positive result on the FilmArray Meningitis/Encephalitis Panel.
Metagenomic next-generation sequencing (NGS) of cerebrospinal fluid (CSF) obtained from patients with meningitis or encephalitis can improve diagnosis of neurologic infections.
Factors contributing to reduced uptake of MenACWY were receipt of fewer non-MenACWY vaccines, reduced preventive care visits, and visits to nonpediatric providers.
The analysis revealed that oversimplifications led to the misconception of jolt accentuation of headache as a stand-alone, universal indicator of acute meningitis.
The prospective study was performed in patients ≥16 years of age with community-acquired bacterial meningitis.
GlaxoSmithKline has recalled its Menveo vaccine.