Research on the potential link between vaccines and Guillain-Barre syndrome has mixed findings — some indicate a minimal association; others do not find a significant causal relationship.
Features
The CHEST guideline includes recommendations on NIV, mechanical ventilation, PFT, screening for respiratory failure and sleep-related breathing disorders, and more.
Lauren McDermott, a patient living with atypical SPS, shares her journey from receiving an official diagnosis to the treatments that help her manage her condition.
Marinos Dalakas, MD, discusses the etiology, diagnosis, and treatment of stiff person syndrome (SPS), and the future of SPS research.
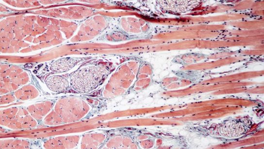
Thomas Gillingwater, PhD, discusses how critical it is to start SMA treatment early in infants before the onset of symptoms.
A biomarker for both ALS and FTD, 2 neurological disorders that share clinical, genetic, and pathological traits, can help signal disease onset and the progression of degeneration.
Early diagnosis and treatment of SMA can limit disease progression in children and adults, extending life expectancy and improving QOL.
Tori Rodriguez, MA, LPC, discusses the progression of care for patients with Duchenne muscular dystrophy during the COVID-19 pandemic.
Tori Rodriguez, MA, LPC, discusses the progression of care for patients with Duchenne muscular dystrophy during the COVID-19 pandemic.
A diagnosis of amyotrophic lateral sclerosis can be overlooked by clinicians unfamiliar with the various signs of the disease.
Although regarded as a miracle drug to some, nusinersen comes with some troublesome strings attached.
ICU-acquired weakness syndromes manifest themselves in a range of ways among patients — as a spectrum of disease rather than in specific form.
Neurology Advisor speaks with Annabelle Baughan, a retired hematologist-oncologist, and discusses her personal experience with Andersen-Tawil syndrome.
Neurology Advisor spoke with Annabelle Baughan, a retired hematologist-oncologist, who discussed her personal experience with Andersen-Tawil syndrome.
The cluster of diagnoses known as periodic paralyses — including hypokalemic periodic paralysis, hyperkalemic periodic paralysis, and Anderson-Tawil syndrome — are rare genetic disorders of spontaneous muscle weakness or paralysis that can last from minutes to days.
Researchers recently identified 5 key challenges that collectively hinder the design of amyotrophic lateral sclerosis clinical trials and the development of new treatments.
The guidelines are the result of a consensus of an international task force of MG experts.
The DMD space is becoming increasingly crowded as the FDA works to identify a drug worth approving.