Experts gave an overview of deep brain stimulation use in the treatment of Parkinson disease, sharing symptoms most responsive to treatment, proposed mechanisms of action, and more.
Features
This patient fact sheet describes the medications that are known to induce tardive dyskinesia, its symptoms, and ways in which the disease state may be managed.
Sleep disturbances may affect 40% to 90% of patients with PD, and a 2020 study found that about half of patients with PD had multiple sleep disorders.
The unprecedented numbers of patients on mechanical ventilation underscore the severity of the coronavirus on public health. Elderly patients, especially those with Parkinson disease, often bear the brunt of the pandemic due to pre-existing pulmonary disease and/or anatomical disposition.
Among the non-motor symptoms of Parkinson’s disease, chronic pain has become a topic of increasing relevance in research and clinical settings.
The etiology and management of peripheral neuropathy in Parkinson disease is discussed.
Precision medicine offers a promising therapeutic strategy for patients with Parkinson disease, allowing for tailored treatments which reflect the unique pathophysiology in each patient.
Severe neuropsychiatric dysfunction, including psychosis and dementia, is associated with more advanced Parkinson disease.
A growing body of research points to the role of the gut-brain axis in the development of Parkinson disease, with inflammatory bowel disease, leaky gut, and altered gut microbiota observed in the gut, often years before the onset of symptoms of Parkinson disease.
Pathological gambling was recently identified as a complication of Parkinson disease and its pharmacological treatment, especially high-dose dopaminergic agonists.
The integration of technology into medicine has expanded into various uses in patients with Parkinson disease.
Some sleep-related movement disorders are well known, like restless legs syndrome, but less common sleep-related movement disorders are often overlooked.
Pharmacologic interventions including oral and injected drugs are a mainstay of spasticity management; however, drug therapies alone are not considered sufficient, and the general consensus supports a broader therapeutic strategy.
Sleep alterations often precede cognitive and motor symptoms in PD and appear during the prodromal phase of the disease.
Multiple system atrophy is a rare, progressive neurodegenerative condition for which there is currently no cure.
The Parkinson’s Foundation Prevalence Project estimates that within the next 2 years, 930,000 people in the United States will be living with the condition; that number is anticipated to rise to 1.2 million by 2030.
More than half of patients diagnosed with Parkinson disease experience freezing of gait.
Surgical interventions for Parkinson disease are experiencing a swell in innovation, thanks in part to the entry of two additional medical device companies into a field previously dominated by one company.
In this article, we explore research findings to provide a deeper understanding of the factors associated with increased risk for impulse control disorders in Parkinson disease. Deputy Director of the Parkinson’s UK charity, Professor David Dexter, also provides insights on the mechanisms of impulse control disorders and the implications of new findings on the management of Parkinson disease.
Although deep brain stimulation, similar to all Parkinson disease therapies, cannot cure, modify, or slow progression of the disease, some recent research suggests that the symptom alleviation and quality-of-life improvement it provides might lead to mild improvements in longevity.
“Since the current generation of psychiatrists has been raised on second-generation antipsychotics and has relatively little experience with first-generation antipsychotics, keeping tardive dyskinesia in mind is not, on the whole, part of their experience or training,” said Christoph U. Correll, MD.
Parkinsonism syndromes are associated with progressive disability and increased mortality, with symptom burden comparable to that of advanced cancer.
Anesthetic medications have been identified as a potential cause of morbidity in this population due to their interaction with the drugs used to manage Parkinson disease.
Several studies have uncovered sex-dependent variations in the symptomatic manifestations of Parkinson disease, as well as in the response to dopamine therapies.
Numerous factors are likely contribute to the rate of progression, with different combinations of factors showing relevance for individual patients.
Although evidence of cognitive impairment in MSA is admittedly more limited than in Parkinson disease, it is now substantial enough to address modification of diagnostic criteria to include the potential for cognitive impairment at any stage of the disease.
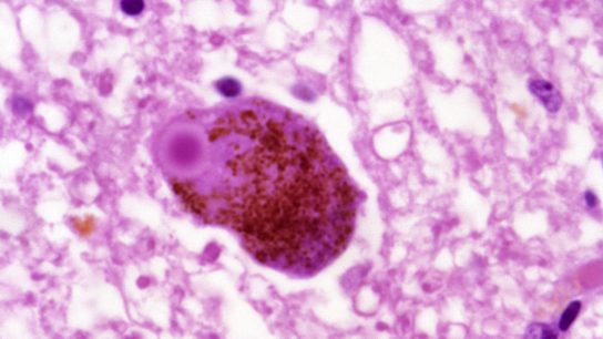
While parkinsonian disorders share a common mechanism of protein aggregation, manifestations are quite varied.
Research has shown significant gaps in knowledge on palliative services among neurology residents, resulting in low referral rates.
There is speculation that dystonia is the result of dysfunction occurring in either the cerebellum or basal ganglia or as a result of an abnormal interaction between the two.
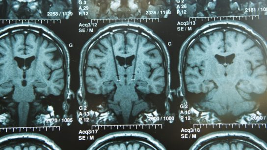
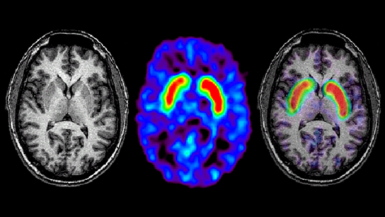
MRI may be used to identify Parkinson disease biomarkers that can inform diagnosis, track disease progression, and elucidate the neurobiological underpinnings of symptoms.