Shashank Suresh, MD, takes us on a deep dive into the importance of immune-related adverse events, including immune-related myositis, which can be triggered by immune checkpoint inhibitor therapy.
Features
Recent research and an interviews with cardiologists highlight health disparities in heart failure care.
José-Alain Sahel, MD, Chairman of the Department of Ophthalmology at the University of Pittsburgh, and Hungarian researcher Botond Roska, MD, discuss a breakthrough that restored the sight of a patient with retinitis pigmentosa and light perception only.
Structural concerns, racial and socioeconomic issues, and state- and federal-level policy present challenges when trying to address the intersecting epidemics of opioid use disorder and HIV.
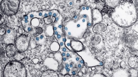
To help clinicians and patients determine if antibodies protect against reinfection, the ACP discussed tests for diagnosing and estimating the prevalence of COVID-19.
In today’s feature article, we talk with Ziyad Al-Aly, MD, of the Institute for Public Health in Washington, DC, who describes treating long-haulers as “America’s next big health crisis.”
While neurological and psychiatric sequelae of COVID-19 have been reported, more data are needed to adequately assess the effects of COVID-19 on brain health.
Clinical Pain Advisor met with Scharles Konadu, MD, a member of the American Board of Internal Medicine Gastroenterology Specialty Board, to discuss how deeply racial inequity is woven into our health care system.
Whatever strategy you employ to encourage vaccinations, it is important to be respectful and empathize with your patient’s concerns and perspectives.
New data about Pfizer COVID-19 efficacy after the first dose suggests high efficacy, raising questions about potential alternative dosing schedules.
Anna Lembke, MD, discusses how patients who use drugs are affected by the convergence of 2 public health emergencies – increasing overdose rates, and the COVID-19 pandemic – and addresses controversial solutions proposed by other investigators.
As January is National Glaucoma Awareness Month, promoting awareness of the various dietary methods for reducing glaucoma risk will help patients maintain their visual health.
Keith Boettiger, head of Abbott’s neuromodulation division, discusses the increasing adoption of digital technology to improve access to health care.
Research has revealed that the SARS-CoV-2 viral infection may have neurological manifestations, with critical implications for clinical practice.
Chronic Fatigue Syndrome/Myalgic Encephalomyelitis (CFS/ME) is a disorder characterized by marked fatigue, exertion induced malaise, cognitive clouding (or brain fog), impaired academic/work performance, disrupted sleep, and joint/muscle pain.
In an address during the American Urological Association’s 2020 Live Virtual Experience, Anthony S. Fauci, MD, a member of the White House Coronavirus Task Force, said the coronavirus pandemic is nowhere near over, but public health measures are making a big difference in reducing the number of cases and related deaths.
Accumulating evidence suggests that COVID-19 can lead to neurological complications.
Recent shifts in studies of sex and gender reiterate the critical need to tailor mental health care to each patient and to remain mindful about assumptions regarding sex and gender and their role in a given patient’s specific challenges.
According to a review published in The New England Journal of Medicine, evidence from preclinical studies and clinical trials on intermittent fasting reveals benefits for a number of health conditions, including obesity, diabetes mellitus, cardiovascular disease, cancers, and neurologic disorders.
Perinatal exposure to opioids may have significant immune, neural, and behavioral effects that can alter CNS development.
The Science of Cannabis Symposium welcomed both clinicians and legal experts and aimed to provide medical and legal education for healthcare providers who are considering the use of cannabis in their medical practice.
The clinical approach to management of Cushing disease is often complex and education on a clear approach is paramount.
Evidence suggests that even after optimal treatment with surgical and pharmacologic interventions, health-related quality of life remains impaired in patients with pituitary disease.
Researchers posit that adult studies on headache can help to create a multidisciplinary treatment plan.
When combined with other serotonergic agents, selective serotonin reuptake inhibitors can lead to a potentially fatal condition called serotonin syndrome, the incidence of which is likely underestimated.
Researchers found that intranasal lidocaine is effective in the treatment of acute migraine and cluster headache because of its ability to block the sphenopalatine ganglion, which is associated with facial pain from the trigeminal nerve.
In Part 2 of this article, Erin D. Michos, MD, shares her thoughts on why dietary supplements are largely unnecessary.
Although it is estimated that more than 166 million Americans use dietary supplements, many healthcare providers are unfamiliar with how these substances are regulated by the US Food and Drug Administration.
Perhaps it is that tension between undeniable differences and inevitable merging that has led to more recent calls for cross-disciplinary cooperation.
As infection may also lead to worsening symptoms in patients with myasthenia gravis, clinicians must balance prompt and adequate treatment of infection with the risk that some antibiotics can aggravate the condition.