Neurology Advisor spoke with Jacob Levitt, MD, for his unique medical and patient perspectives on PP.
Features
The new guidelines will facilitate the design and development of clinical trials to test new therapies to minimize the burden of neurologic disability produced by neurosarcoidosis.
“Chasing the dragon” is an increasingly popular method of heroin inhalation among drug users.
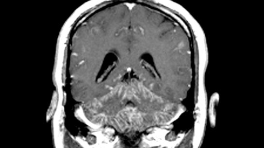
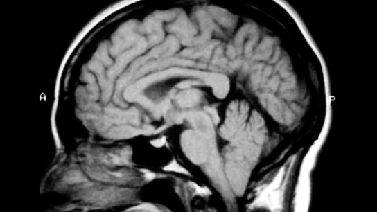
Meta-analyses are only as good as the quality of the primary data, which is mostly low to medium evidence in the case of Chiari malformation.
Despite their advantages, many clinicians do not necessarily agree with the centrality or content of CPGs. Others — especially primary care physicians (PCPs) — are overwhelmed by the vast and ever-increasing numbers of guidelines issued by multiple societies.
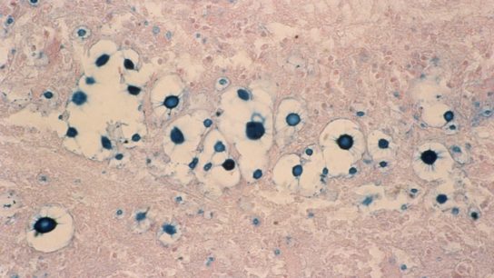
While immunocompromised patients are the most susceptible to CNS fungal infections, they can also occur in immunocompetent patients undergoing invasive procedures such as neurosurgery and in patients exposed to contaminated devices or drugs.
The focus on enhanced cognitive function could sideline equally important aspects of life such as health and relationships.
Research on therapies that may rouse a patient in a persistent vegetative state needs to include the ethical considerations of waking a patient in a state of incomplete recovery.
The automated diagnosis suggestion at the top of the EKG strip is the output of what is known as a decision support system.
Withholding negative research results not only skews scientific evidence but also puts into question the whole validity of medical research.
Ischemic and hemorrhagic strokes are a common complication of infective endocarditis, but guidance on intervention is varied.
Findings from animal studies indicate that anesthetics may be neurotoxic and could result in long-term central nervous system alterations and cognitive dysfunction.
For survivors of nontraumatic cardiac arrest, brain injury becomes a major factor in disability and long-term survival.
The National Academies of Sciences, Engineering, and Medicine have released a report
Long-term exposure to hyperglycemia may have ill effects on the brain, making diabetes patients more prone to dementia and cognitive impairment.
Determinations of brain death are becoming increasingly clouded by special circumstances, religious beliefs, and inconsistencies across state lines.
The role of teleneurology can grow far beyond critical stroke care, but only if medical liabilities and insurance steps out of the way.
Adopting a more open-access environment crucial to developing new technologies for understanding the human brain.
As part of an industry effort to reduce wasteful practices that contribute to healthcare costs, the American Academy of Neurology published its recommendations, code-named “Choose Wisely.”